Can Dental Implants Provide Added Jaw Stability?

The answer to this common question is most assuredly, yes. Patients are frequently referred to Prosthodontists to “repair” their jaws, after having lost several teeth due to tooth fractures, failure of a root canals, extensive decay, and bone loss from periodontal disease. In some of these cases, the damage to the bone has been quite significant. However, it is a very rare situation when a Prosthodontist or oral surgeon cannot “repair” the jaw by placing dental implants. Once properly implanted, the implant, which a titanium or titanium alloy root, becomes integrated to the bone and provides a great deal of strength to the jaw. Some Prosthodontists place bone grafts in the jaw, particularly in the extraction sockets of teeth needing to be extracted, in order to reconstruct as much bone as possible.

With this treatment plan in mind which aims to reconstruct bone, it is the opinion of this Prosthodontist to strongly disagree with dental implant clinics that advocate reducing the bone in the patient’s jaw in order to be speedy and quick with implant placement. In many instances, patients can have same day implants placed with the prosthesis immediately inserted on it without reducing the bone. In other situations, teeth can actually be saved, rather than being extracted. When discussing treatment plans, ask your dental professional about what the long term impact on bone loss and jaw stability will be with dental implants, so that you can ensure you are comfortable with the final treatment recommendation.

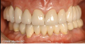
See how dental implants can improve smiles and jaw stability with these before/after photos.

[media-credit id=15 align=”alignleft” width=”297″]Implant Rejuvenation of the Jaw Before[/media-credit]Implant Rejuvenation of the Jaw After

The greater the amount of bone loss, the greater the amount of diagnostic work up that is required to “get it right”. Advancement in dental technology can now aid dental professionals in this diagnostic work and make the examination faster and more precise. Precise planning is possible with a 3D Xray (the CBCT-cone beam-Xray), which provides a great deal of information for planning the implant placements such that they are ideally positioned.These preferred placements increase the jaw’s stability and the long-term success of the implants.

Implants provide additional jaw support, since they are titanium “roots” which are ramparts, or support for the bone. Precise preoperative planning provides the best results, even if a great deal of bone has been lost.

So if you suffer from conditions that have or will lead to jaw instability, discuss your dental implant options with your dentist or Prosthodontist, and the appropriate treatment plan can provide you with stability, greater jaw support and a great smile for years to come.

Summary
Article Name
Can Dental Implants Provide Added Jaw Stability?
Description
Prosthodontists can “repair” patients' jaws, after having lost several teeth due to tooth fractures, failure of a root canals, extensive decay, and bone loss from periodontal disease. Once properly implanted, dental implants become integrated to the bone and provides a great deal of strength to the jaw.
Author