Diabetes is a chronic disorder in which the body isn’t able to use or make insulin correctly. This leads to too much glucose, the body’s sugar, the in blood, which can affect your health, including your teeth and gums. Untreated diabetes—in which blood sugar is uncontrolled—can especially affect your oral cavity, leading to...
Oral cancer includes cancers of the mouth, lips, gums, upper throat, and tongue. Any tissue in the mouth or throat that develops cancer can be referred to as oral cancer. Dentists are often the first professionals to come into contact with oral cancer, as they conduct screenings during your regular exam that...
Getting married is one of the most important days of many peoples’ lives. This event is usually marked by gathering of friends and family, and pictures to commemorate the occasion. Preparing for your wedding day includes more than booking the venue, hiring a caterer, and sending out invitations. A wedding is an...
Your baby’s first tooth will typically emerge between six months and one year of age. As soon as your baby has teeth, they are susceptible to tooth decay, making it essential that you properly care for your baby’s oral health. How can you keep your baby’s teeth healthy as they grow? Here...
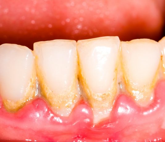
Plaque is a substance that coats your teeth and makes them feel rough or fuzzy, whereas brushed teeth should feel smooth. Plaque is mostly bacteria, but can also contain food particles. As plaque is constantly forming in the mouth, daily brushing can remove plaque before it has a chance to turn into...
It’s commonly accepted that sugar is bad news for your teeth. Sugar is highly acidic and can wear away tooth enamel, not to mention cause bacteria that can lead to tooth decay. But sugar is an enjoyable part of so many dishes and treats, which often leads people to reach for...
There are many kinds of medication that are known for affecting teeth, primarily by causing dry mouth. However, not all of these medications are prescriptions. Did you know that there are over the counter (OTC) medications that can affect the health of your smile? Many common medications can lead to dental health...
Your teeth are designed to last a lifetime, so hearing that you need a tooth extracted can be devastating. Your oral healthcare professional will do everything they can to save your tooth. However, in some cases, extraction may be the only treatment option. While every smile and every case is unique, here...
Age is just a number when it comes to improving your smile—it’s never too late to get the look you want for your teeth! Whether you have specific concerns about your teeth and gums or just want a generally better-looking smile, there are many treatment options available to you. While not all...
Summer brings many changes, from warmer weather to summer treats to vacations. Whether you’re taking time off this summer or continuing with your normal schedule, it’s important to still make oral care a priority. Even with a busy summer planned, how can you keep your smile bright and healthy? Here are a few...














