Gingivitis is a word that refers to inflammation of the gums, and defines the early stages of gum disease. While not full-blown periodontal (gum) disease, gingivitis will eventually lead to gum disease if not treated, and should be taken seriously. It’s generally easier to treat and reverse gum disease at...
If you’ve ever been dehydrated, you know the feeling of a dry mouth. Your mouth may feel sticky or uncomfortable, or your breath may be less than pleasant. Dry mouth is a condition that has consequences for your oral health, especially if you suffer from chronic dry mouth, sometimes referred...
Our teeth aren’t immune to damage even though ideally, they should last us a lifetime. To take the best care of your teeth, it’s imperative to brush, floss, and visit your dentist as recommended. However, what happens when you do all these things and yet still experience damage to...
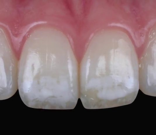
If you have areas on your teeth that appear more white than the rest of your smile, you may be wondering what’s going on. White spots, lines, or streaks on the teeth are typically the result of dental fluorosis, which happens when children get too much fluoride from any...
Most people have heard of root canal therapy, in which the inner chamber of the tooth—where the nerve tissue that keeps the tooth alive is located—is cleared and sealed to stop an existing infection or decay. Root canal treatment can help you keep your natural tooth as opposed to...
Teething can be a trying time for both toddlers and parents. Babies begin to get their first tooth anywhere from four to seven months old, but teeth could begin to appear anywhere from two months to one year of age. In addition to having a fussy baby during the teething process,...
Wisdom tooth removal is a common procedure. Your third molars make an appearance in your latter teen years or your early 20s. Some people won’t have an issue with these molars, while others will have what are called impacted wisdom teeth. Impacted wisdom teeth almost always need to be removed,...
When was the last time you visited your dentist? You might think that if you’re not having any symptoms with your oral health that you won’t need to see a dentist. However, preventative care plays an essential role in protecting the health of your smile not just today, but...
Normal gum tissue is typically firm and has a more pinkish color tone. When the gums are irritated or inflamed, they can appear red and swollen. Healthy gum tissue is essential to the health of our teeth, as it helps to both support the teeth and protect the roots of...
Tooth pain can be uncomfortable at best and excruciating at worst. If your tooth or jaw is aching, you’re likely wondering what could be going on. There are several different conditions that could be causing your pain, and the only way to know the cause for sure is by...














