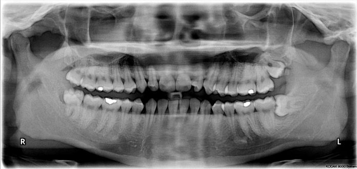
Wisdom teeth are the most posterior of all molars, residing in the far back corners of your mouth. They can emerge at any time, typically between 17 and 25, and often affect surrounding teeth as they come in. During a trip to the dentist, an X-ray can show how the teeth are growing and if they are growing at an angle under the gum line. If deemed necessary, your dentist will often make an appointment to have the teeth surgically removed. However, sometimes a dentist is not necessary in determining that it is time to part with your wisdom teeth. Here are some signs to look for:
Pain
This is often the first sign that your wisdom teeth need to be taken out, and it often means that they will need to be removed surgically. As the teeth erupt through the gums, it will be a painful experience because the teeth are larger than others. If the teeth are growing underneath the back teeth, then this can cause pain as well. If over the counter medications and remedies like cold packs on the mouth don’t relieve the pain, then it’s time to see a dentist to discuss the removal of the teeth.
Infections
As the teeth come through the gums, there can be a space between the teeth and the gums. Food can build in this space, increasing the amount of bacteria. If you don’t get the area thoroughly cleaned, then an infection could begin. When the teeth become compacted, an infection could occur. If you see that there are several infections in a short amount of time, then you probably need to get the wisdom teeth out.
Damage To Other Teeth
When the wisdom teeth grow in under the back teeth, it can cause the teeth to shift. This can cause pressure on the other teeth in the area and create a crowding situation in the mouth. This crowding can change the appearance of the entire line of teeth whether they are on the top or the bottom. If you have had braces or extensive dental work, then the shifting could negate any part of the work that has been done. Another thing to consider is the timing of the eruption of the wisdom teeth. Some dentists will go ahead and remove the teeth as soon as they appear so that they don’t cause damage to the other teeth later on in life.
If you are experiencing any of these symptoms, or even if you’d simply like to check-in on your wisdom teeth, make an appointment with your dentist. Remember: a healthy smile is a happy smile.









